Foreword
Organoids, as miniature three-dimensional tissue models structurally and functionally analogous to real organs, have emerged as revolutionary models in the biomedical field. During organoid culture, strict control of their growth signaling pathways is essential, typically achieved through serum-free culture systems. While nutrients rich in serum may promote short-term growth, certain unknown components within serum can disrupt signaling regulation and even influence organoid cell fate. For instance, it is common for organoids to lose their growth capacity as cells differentiate in serum-containing culture systems. Therefore, selecting an appropriate serum-free supplement is crucial for organoid culture.
Serum-Free Supplement Opens a New Chapter in Organoid Culture

Product Information

Frequently Asked Questions (FAQ)
Q: What is the difference between G-27 supplement without vitamin A and regular G-27 supplement?
A: G-27 supplement without vitamin A is a customized B-27 supplement. Vitamin A can be converted into retinoic acid, which induces stem cells to differentiate into neural cells. The formulation without vitamin A is ideal for stem cell culture and proliferation.
Q: What is the recommended concentration for G-27?
A: The recommended concentration for G-27 is 1x. Users may adjust as needed based on specific experimental requirements.
Q: Does G-27 require special storage conditions?
A: G-27 should be stored at -20°C and protected from repeated freeze-thaw cycles to ensure product stability and activity.
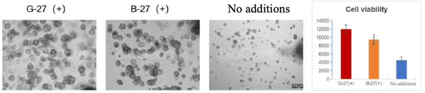
Q: What are the morphological and functional advantages of organoids cultured with G-27?
A: Organoids cultured with G-27 demonstrate superior morphological integrity, cellular viability, and functional performance compared to traditional culture supplements.
Q: Does G-27 provide technical support?
A: Yes, we offer comprehensive technical support and after-sales service to ensure prompt resolution of any issues encountered during use.
Serum-Free Supplement Unlocks a New Chapter in Organoid Culture
Our supplement is more than just a nutritional supplement for cell and organoid culture—it's the key to unlocking a new era in organoid research. By choosing our product, you gain:
Organoid-Specific
G-27 supplement incorporates chemically defined, customized nutritional components tailored to organoid culture requirements, ensuring the optimal growth environment.
Mimics In Vivo Nutrient Environment
G-27 precisely replicates the tissue cell growth environment within the body, supporting normal growth and development of organoids and cells during in vitro culture.
Optimized Cultivation Outcomes
Retains the advantages of traditional B27 supplement while enhancing cell culture efficacy through customized nutritional formulations.
Simple to Use
Supplied as a 50× liquid concentrate, simply add to culture medium at a final concentration of 2% (v/v).
Broad Applicability
Widely applicable for in vitro culture of organoids and cells from normal tissues (e.g., digestive, respiratory, reproductive, urinary systems) and various tumor tissues, ensuring excellent culture outcomes.
Cytokine-Free
To enable researchers to optimize and formulate organoid culture systems based on G-27, this supplement provides only essential nutrients without any mitogenic factors such as EGF or FGF.
Long-Term Validation
Extensively validated to ensure stability and reliability across diverse organoid culture conditions, providing sustained high-quality support for researchers.
Stability
A consistent formulation guarantees long-term cell culture performance, minimizes batch-to-batch variability, enhances experimental reproducibility and stability, and delivers continuous research support.
We highly value user feedback and suggestions, maintaining close communication throughout G-27's development and application. Our comprehensive user service system delivers professional technical support and after-sales service, ensuring smooth experimentation and expected outcomes. We believe that only through mutual progress with our users can we continuously enhance product quality and performance to meet evolving market demands.
Partial Data Presentation
G-27 has been extensively applied in organoid engineering across multiple cancer types and lineages, including lung, gastric, colorectal, and esophageal cancers. Its efficacy has been validated in normal organoid models such as human and mouse small intestines, human colon, and mouse bile ducts.
Conclusion
We extend our gratitude for your interest and support of bioGenous. We remain committed to innovation and quality excellence, continuously introducing superior products to advance the progress and development of the biomedical field. We anticipate G-27 becoming your reliable assistant in the laboratory, empowering you to achieve new breakthroughs in organoid research. Together, let us witness the revolutionary changes brought by G-27 and pioneer a new era in organoid culture.
Other Product Recommendations

Original Link: